CASE 1: Transfemoral Carotid Artery Stenting for High-Grade Restenosis in a Carotid Bypass Graft

Edvard Skripochnik, MD
Chief, Vascular and Endovascular Surgery
NewYork-Presbyterian Westchester
Assistant Professor of Surgery
Columbia University Vagelos College of Physicians and Surgeons
New York, New York
Disclosures: Consultant to Terumo Interventional Systems.

PATIENT PRESENTATION

A man in his early 60s with prior carotid endarterectomy (CEA) followed by interposition common carotid artery (CCA)–to–internal carotid artery (ICA) bypass for recurrent disease presented. Despite smoking cessation initiatives and optimal drug therapy, the patient continued tobacco use and developed progressive severe restenosis within the bypass conduit several years later, which was identified on surveillance duplex ultrasound. The distal anastomosis demonstrated high-grade restenosis > 80% (Figure 1A), and the bypass developed intraluminal thickening suggestive of soft heterogeneous plaque morphology on ultrasound (Figure 1B).

Figure 1. Longitudinal view ultrasound of the distal anastomosis at the ICA bypass demonstrating severe focal plaque burden (A). Axial view ultrasound of the proximal CCA at the level of the clavicle with heterogeneous intimal thickening (B).

Given the hostile operative field, redo open surgery carried increased risk for cranial nerve injury. Transcarotid artery revascularization (TCAR) was evaluated; however, circumferential plaque burden extending into the mid-CCA limited safe direct carotid access. The decision was therefore made to proceed with transfemoral carotid artery stenting (TFCAS) using distal embolic protection.

PROCEDURAL OVERVIEW

After ultrasound-guided transfemoral access, the patient was systemically heparinized. An aortic arch angiogram demonstrated a bovine, type II arch configuration. The CCA was selectively cannulated using a Van Schie 4 catheter (Cook Medical) and Glidewire® (Terumo Interventional Systems). Angiography confirmed a critical focal stenosis at the distal anastomosis of the bypass graft (Figure 2A). For enhanced stability, a 7-F Destination™ sheath (Terumo Interventional Systems) was advanced into the proximal CCA. A distal filter wire was then carefully navigated across the lesion and deployed in the distal ICA. A 10- X 20-mm Roadsaver™ dual-layer micromesh carotid stent (Terumo Interventional Systems) was advanced and deployed across the anastomotic stenosis. Postdilation was performed using a 5- X 40-mm angioplasty balloon to optimize luminal expansion and stent apposition. Completion angiography demonstrated an excellent result, with no residual stenosis, preserved distal flow, and no angiographic evidence of embolization (Figure 2B). The filter was retrieved and was free of visible debris, and the patient experienced no periprocedural neurologic events.

Figure 2. Selective angiography of the left carotid artery showing a focal severe luminal stenosis > 80% (A). Completion angiography post Terumo Roadsaver carotid stent demonstrating no residual stenosis (B).

DISCUSSION

The Terumo Roadsaver stent was selected specifically for its dual-layer, low-porosity micromesh architecture. In the setting of potentially soft heterogeneous plaque within a prior anastomosis and bypass conduit, the increased scaffolding density was particularly relevant to mitigate embolic risk and minimize intraluminal debris extrusion through stent interstices known as “cheese-grating.”

As next-generation carotid stent platforms continue to evolve, improvements in scaffolding design, deliverability, and embolic protection integration will likely further enhance TFCAS outcomes. However, contemporary practice must be interpreted within the context of data from the CREST-2 trial, which rigorously evaluated carotid revascularization strategies versus intensive medical therapy alone.1 It builds upon prior CREST findings, where 30-day stroke/death rates were more comparable between CEA and CAS. Nonetheless, there are ongoing questions regarding generalizability, high-risk lesion stratification, and the evolution of stent platforms and embolic protection technology since trial initiation. Examining the data more specifically should drive operators to continue selecting treatment approach based on individualized anatomic and clinical contexts.

To my fellow vascular surgeons: Our distinct advantage lies in our ability to offer CEA, TCAR, or CAS after anatomy-driven, pathology-specific decision-making. However, we must acknowledge the efficacy and enduring role of CAS and continue to develop our experience in order to offer this treatment option when optimal, without hesitation. We should not exclude transradial CAS either, as there are advantages to be gained there as well. In complex reoperative settings such as this, TFCAS (particularly with dual-layer micromesh platforms) retains a permanent and important role in the treatment algorithm for carotid artery disease.

1. Brott TG, Howard G, Lal BK, et al. Medical management and revascularization for asymptomatic carotid stenosis. N Engl J Med. 2026;394:219-231. doi: 10.1056/NEJMoa2508800


CASE 2: Staged Carotid Stenting Before CABG in a Patient With Critical ICA Stenosis and Severe Coronary Disease

Anish J. Thomas, MD, FACC, FSCAI
Interventional Cardiology, Endovascular and Vascular Medicine
Mercy South Hospital
St. Louis, Missouri
Disclosures: Consultant to Terumo Interventional Systems, Shockwave Medical, Medtronic, Abbott, and Edwards Lifesciences.

PATIENT PRESENTATION

A man in his late 50s with uncontrolled type 2 diabetes, hypertension, dyslipidemia, and morbid obesity was admitted with acute heart failure and a non–ST-segment elevation myocardial infarction. His cardiac catheterization showed severe multivessel disease, and an echocardiogram showed severe left ventricular systolic dysfunction. He was being considered for coronary artery bypass grafting (CABG). His preoperative workup showed a severe to critical right ICA stenosis.

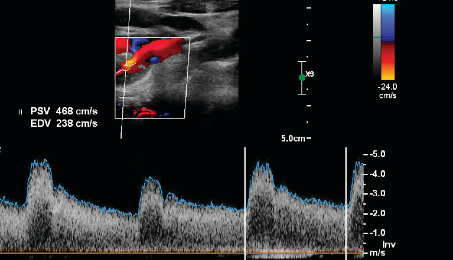
Carotid duplex ultrasound showed > 70% stenosis with a peak systolic velocity (PSV) of 438 cm/s and end-diastolic velocity (EDV) of 238 cm/s, with predominantly hypoechoic plaque (Figure 1) . This was confirmed on a CTA, which showed a type I aortic arch with tortuosity of the innominate artery, a critical proximal right ICA stenosis, and severe tortuosity of the mid to distal ICA.

Figure 1. The carotid duplex images showing > 70% stenosis with a PSV of 438 cm/s and EDV of 238 cm/s with predominantly hypoechoic plaque.

With optimizing his medical management, the patient remained angina free. However, he experienced a transient ischemic attack, prompting a decision to proceed with TFCAS and delay his CABG by 1 month after carotid stenting. He was given 300 mg of clopidogrel.

PROCEDURAL OVERVIEW

Ultrasound-guided femoral access was achieved in the right common femoral artery, and a 6-F sheath was inserted. The arteriotomy was “preclosed” with a single Perclose closure device (Abbott). A 9-F sheath was then inserted, with a plan to use proximal embolic protection. At this time, the patient was anticoagulated with a bolus dose of heparin to maintain an activated clotting time of 250 to 300 seconds.

A pigtail catheter was positioned in the aortic arch and an arch aortogram was obtained, confirming the presence of a type I aortic arch without significant calcification. Significant tortuosity was noted in the innominate artery (Figure 2). The catheter was then switched out for a 5-F vertebral shaped catheter that was used to cannulate the left CCA, and carotid and cerebral angiograms were obtained. These showed no significant stenosis of the left carotid system, with cerebral angiograms showing antegrade filling of the left anterior artery and middle cerebral artery (MCA), as well as contralateral filling of the right anterior cerebral artery (ACA) and MCA (Figure 3).

Figure 2. Significant tortuosity noted in the innominate artery.

Figure 3. Cerebral angiogram showing antegrade filling of the left anterior artery and MCA and contralateral filling of the right ACA and MCA.

The vertebral catheter was then used to cannulate the innominate artery and advanced over a 0.038-inch Glidewire to the right CCA. Subsequent carotid and cerebral angiography showed no significant stenosis of the CCA and a widely patent external carotid artery (ECA). A critical subtotal occlusion of the proximal ICA (Figure 4) was noted, with sluggish TICI (thrombolysis in cerebral infarction) 1 to 2 flow in the distal ICA into the MCA; the ACA was not filling antegrade (Figure 5).

Figure 4. Critical subtotal occlusion of the proximal ICA.

Figure 5. Sluggish TICI 1 to 2 flow in the distal ICA into the MCA, with an ACA not filling antegrade.

Under roadmap guidance, the Glidewire was advanced into the occipital branch of the ECA, over which the vertebral catheter was tracked. The wire was then switched out for a Supra Core wire (Abbott). A Mo.Ma device (Medtronic) was tracked over this and positioned in place. Once the ECA and CCA balloons were in place and inflated, the lesion was crossed with a Runthrough® wire (Terumo Interventional Systems). The lesion was predilated with a 4- X 30-mm balloon.

With the distal CCA measuring 6.8 mm, the decision was made to use a 7- X 25-mm Roadsaver carotid stent. The stent was postdilated with a 5- X 30-mm balloon (Figure 6). After aspirating 60 mL through the Mo.Ma device, no debris were noted in the filter. The ECA and CCA balloon were then sequentially deflated.

Figure 6. The 7- X 25-mm Roadsaver Carotid Artery Stent postdilatation.

Final angiograms showed a good poststent result, with brisk flow through the ICA without significant residual stenosis (Figure 7) and brisk antegrade filling of the right ACA and MCA (Figure 8). The patient had no neurologic complications and was discharged the next day on dual antiplatelet therapy and guideline-directed medical management. Clopidogrel was discontinued 1 month later, and the patient underwent CABG.

Figure 7. Final angiogram showing a good poststent result with brisk flow through the ICA without significant residual stenosis.

Figure 8. Final angiogram showing brisk antegrade filling of the right ACA and MCA.

DISCUSSION

The Roadsaver carotid stent has a 5-F compatible, dual-layer braided nitinol design. The design makes it extremely flexible and trackable through tortuous anatomy. It is fully resheathable and repositionable up to 50% of deployment. The dual-layer braided micromesh has a side-cell pore size of 375 to 700 µm that minimizes plaque protrusion and therefore reduces neurologic events in lesion morphology like this. These qualities enable us to achieve excellent outcomes in TFCAS, even in challenging cases.


CASE 3: Carotid Artery Stenting With Dual Embolic Protection for Symptomatic Near-Occlusive ICA Disease

Mehdi Bouslama, MD, MSc
Neuroendovascular Surgery & Vascular Neurology
Broward Health Medical Center
Fort Lauderdale, Florida
Disclosures: Consultant to Terumo Interventional Systems.

PATIENT PRESENTATION

A middle-aged man with no significant past medical history presented to the emergency department with acute-onset aphasia upon waking up. On clinical examination, the patient had mild aphasia and was unable to answer orientation questions (National Institutes of Health Stroke Scale [NIHSS] 2). A CT scan of the patient’s head showed no intraparenchymal bleed or early ischemic changes. A left MCA dot sign was noted. CTA of the head and neck showed an M2 occlusion in the distal left MCA, as well as bilateral carotid disease with near-complete occlusion of the left proximal cervical carotid artery (Figure 1A-C). These findings were later confirmed by carotid duplex ultrasound, which revealed a PSV of 296.3 cm/s and EDV of 30.4 cm/s.

Figure 1. Axial CT of the head with a left MCA dot sign (A). Coronal CTA of the head showing M2 cutoff in the left distal MCA (B). CT perfusion demonstrating a mismatch between infarct core and penumbra (C). Axial T2-FLAIR MRI demonstrating the extent of infarction within the left MCA territory (D).

The patient was not deemed a candidate for intravenous thrombolysis, as he was outside the window of mechanical thrombectomy given the distal occlusion with low NIHSS. A secondary stroke workup included an unrevealing transthoracic echocardiogram. MRI of the brain showed a moderate infarct burden in the left MCA territory (Figure 1D). The etiology was thought to be large vessel atherosclerosis. The patient was loaded with antiplatelet medication (aspirin and clopidogrel) and a P2Y12 was checked to ensure responsiveness to clopidogrel.

PROCEDURE

An 8-F right common femoral artery access was achieved, and the patient was systemically anticoagulated with heparin. A Bobby™ balloon guide catheter (BGC) (Terumo Neuro) was navigated over a 5-F Simmons Select catheter (Penumbra, Inc.) and a 0.035-inch Glidewire Advantage® guidewire (Terumo Interventional Systems) into the left CCA. Biplane cervical and cranial angiograms were then obtained. A 99% stenosis was present in the proximal left cervical ICA, with delayed filling of the intracranial vasculature and no evidence of occlusion (Figure 2A and 2B).

Figure 2. Prestent anteroposterior and lateral angiograms demonstrating near-complete occlusion of the proximal left cervical ICA (A, B). Inflated balloon across the stenotic lesion with BGC inflated for flow reversal and proximal protection (C). Anteroposterior and lateral angiograms after stent placement with significant improvement in caliber and flow (D, E).

The Bobby BGC was inflated, and the stopcock was opened to allow for back bleeding and flow reversal (Figure 2C). Under roadmap guidance, an Emboshield NAV6 embolic protection device (Abbott) was navigated across the stenotic lesion, into the distal cervical ICA, and deployed. This allowed for both proximal and distal embolic protection. With the NAV6 wire in place, a 5- X 30-mm Aviator balloon (Cordis) was navigated across the stenotic segment, inflated to nominal pressure, and maintained for 30 seconds. The balloon was then deflated and removed.

An 8- X 25-mm Roadsaver stent was then navigated across the stenotic region and deployed. Intermittent angiography was performed, demonstrating satisfactory stent deployment (Figure 2D and 2E). The NAV6 was then retrieved with a total filter time of 5 minutes. Final biplane cervical and cranial angiography was performed and showed brisk flow through the stent, with significant improvement in intracranial filling (Figure 3).

Figure 3. Prestent cranial angiogram showing sluggish and delayed intracranial flow (A). Poststent cranial angiogram demonstrating intracranial flow and significant improvement, with full opacification of the ACA and MCA and their arborizations (B).

The arteriotomy was closed with an 8-F Angio-Seal® (Terumo Interventional Systems). There were no signs of hematoma, hemorrhage, or loss of pulses.

The patient’s hospital course was uncomplicated, and he was discharged home on dual antiplatelet medication and high-dose statins for secondary stroke prevention. On follow-up, his aphasia had significantly improved and his NIHSS was 1.