PATIENT PRESENTATION

A woman in her late 50s with a history of hypertension and diabetes presented with severe, debilitating pain in her left leg following several weeks of progressive symptoms. One week earlier, she was diagnosed with left leg deep vein thrombosis (DVT) and started on anticoagulation therapy; however, her pain persisted.

DIAGNOSTIC FINDINGS

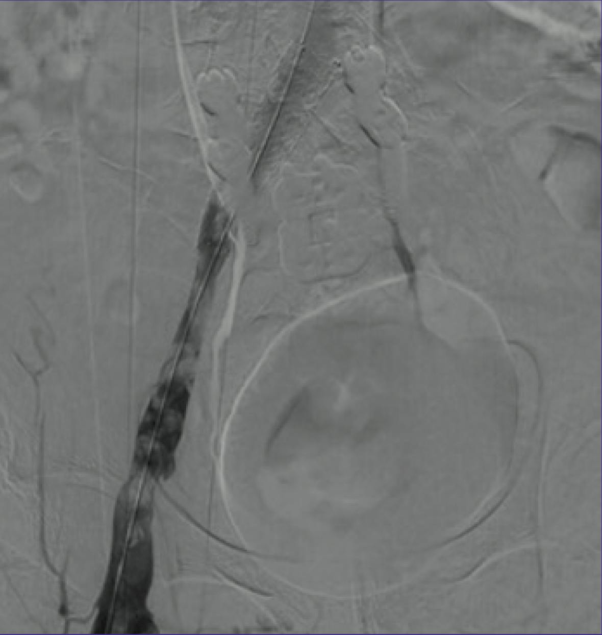
CT scan revealed thrombus extending from the left tibial vessels to the external iliac vein, with May-Thurner narrowing. In the prone position, left popliteal access was obtained, a 12 Fr Pounce™ Sheath (Surmodics, Inc.) was placed, and a .035 guidewire and support catheter were navigated into the inferior vena cava. Venography demonstrated near-occlusive DVT from the accessed popliteal vein to the common iliac vein (CIV), with extensive collateralization (Figure 1).

Figure 1. Initial venogram showing near-occlusive DVT extending from the accessed popliteal (far left) vein to the CIV (far right) and extensive collateralization.

TREATMENT

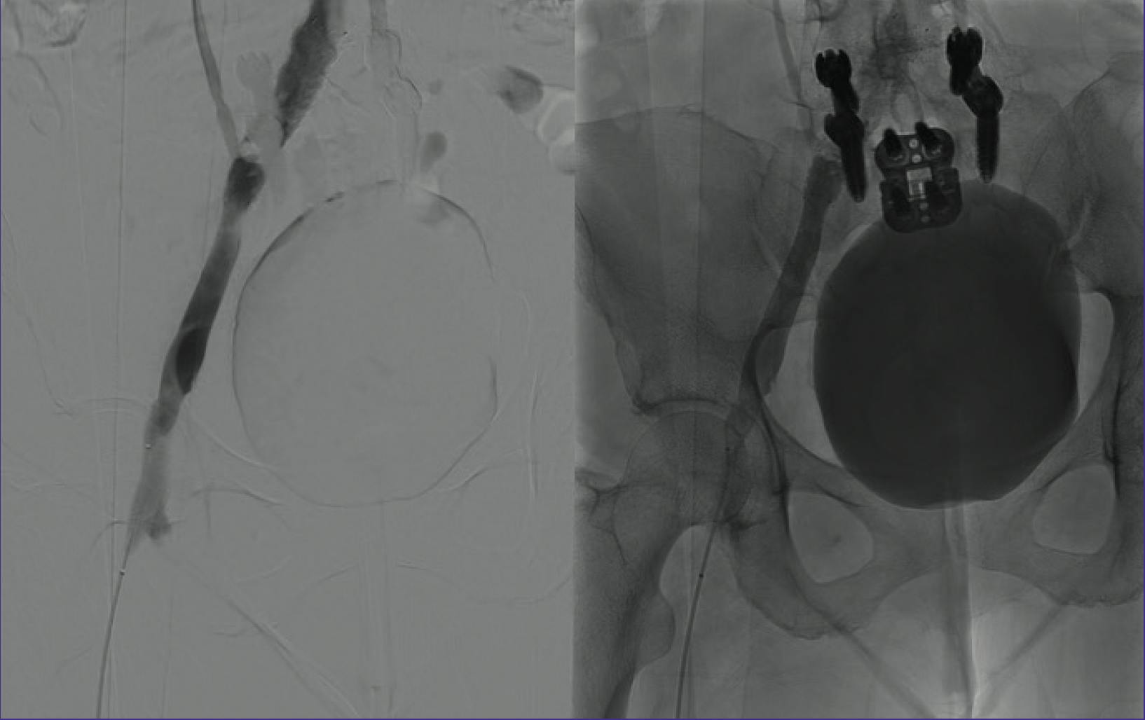
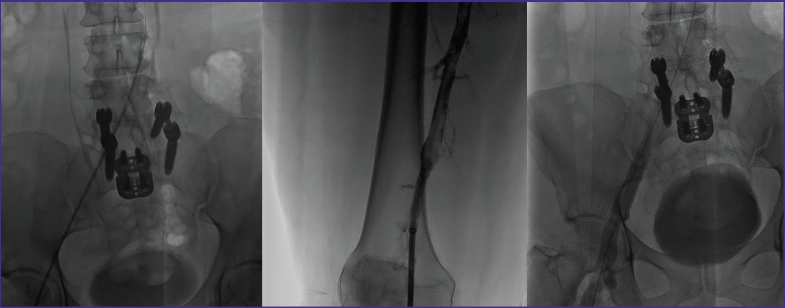
The .035 guidewire was exchanged for a .018 guidewire, and the Pounce™ Venous Thrombectomy System (Surmodics, Inc.) was deployed at the proximal CIV. The system removed acute and chronic thrombus extending from the CIV to the popliteal vein, resulting in restoration of flow (Figure 2). Balloon venoplasty was performed at the May-Thurner stricture in the CIV; however, intravascular ultrasound (IVUS) showed continued stenosis (Figure 3). A 14 X 60 mm Zilver Vena® Venous Self-Expanding Stent (Cook Medical) was deployed at the site of the stricture. Subsequent venography showed occlusive thrombus distal to the new stent (Figure 4). With caution, the Pounce™ Venous System was used to clear the thrombus, and brisk flow was established through the stented CIV (Figure 5).

Figure 2. Thrombectomy with the Pounce™ Venous System removing extensive acute and chronic clot (left). Subsequent restoration of flow (center and right).

Figure 3. IVUS showing continued narrowing at the CIV May-Thurner stricture following venoplasty.

Figure 4. Thrombus observed distal to newly placed venous stent.

Figure 5. Final images show widely patent stented iliac veins with brisk flow and resolution of collateral vessels following Pounce™ Venous System thrombectomy.

POSTPROCEDURAL OUTCOMES AND PHYSICIAN OBSERVATIONS

The patient was discharged with a 6-month anticoagulation regimen. At 2-month follow-up, she was ambulatory, and a lower extremity duplex ultrasound exam confirmed venous patency.

Due to the duration of this patient’s symptoms and the likelihood of organized occlusive clot, I selected the Pounce™ Venous Thrombectomy System with its wall-apposed basket for this case. The ability to manually narrow the system’s basket helped in removing clot in tight strictures with minimal patient discomfort. I also appreciated the system’s ease of use in allowing treatment near a freshly placed stent.

Caution: Federal (US) law restricts the Pounce™ Venous Thrombectomy System to sale by or on the order of a physician. Please refer to the product’s Instructions for Use for indications, contraindications, warnings, and precautions. SURMODICS, POUNCE, and SURMODICS and POUNCE logos are trademarks of Surmodics, Inc. and/or its affiliates. Third-party trademarks are the property of their respective owners.

Xavier S. Mohammed, MD
Interventional Radiologist
ChristianaCare
Newark, Delaware
Disclosures: None.