Advertisement
Advertisement
November 2025
What Is the Next Frontier for Radial Access in…?
Specialists identify the key areas poised to shape the future of radial access across peripheral artery disease, neurointervention, interventional oncology, and embolization.
With Sarah J. Carlson, MD, MSc; Daryl Goldman, MD; Shahram Majidi, MD; Darren Klass, MBChB, MD, MRCS, FRCR, FRCPC; Andrew Shabila, MD; Shaun Nordeck, MD; and AJ Gunn, MD, FSIR
PERIPHERAL ARTERY DISEASE
Sarah J. Carlson, MD, MSc

Radial access for peripheral arterial interventions has become a highly useful strategy for vascular surgeons. It is a particularly attractive option for patients who have prior femoral access, femoral scar tissue, or obesity—all characteristics that can make traditional femoral access more difficult. A single-site radial access also allows for bilateral leg imaging and interventions in the same procedural setting. In our practice, we routinely use radial access for patients who have difficulty lying flat postprocedure due to back pain or severe cardiopulmonary disease, as the approach allows patients to sit up immediately postprocedure while the radial access site is compressed.
Radial access for lower extremity interventions has been limited by a lack of availability of catheters with sufficient length and steerability to navigate the distal femoral, popliteal, and tibial vessels. This can be especially challenging in patients of tall stature, where the distance from radial access site to target intervention is great. With increasing availability of longer, angle-tipped catheters, the ability to direct a wire across a distal lower extremity lesion becomes a much more achievable feat, allowing the surgeon “wrist-to-toe” access for treating distal arterial targets.
NEUROINTERVENTION
Daryl Goldman, MD, and Shahram Majidi, MD


Radial artery access in neurointervention offers several advantages over a transfemoral approach, including reduced access site complications, improved patient comfort, and faster postprocedure recovery. Radial access also offers an alternative, more feasible approach in patients with challenging aortic arch anatomy. Although radial access is now well-established in diagnostic cerebral angiography and some therapeutic procedures, the next frontier lies in its broader application to complex neurovascular interventions, such as carotid artery angioplasty and stenting and cerebral aneurysm and arteriovenous malformation embolization.
Advances in device technology are rapidly addressing the anatomic and technical challenges inherent to radial access. The new generation of long-length guiding catheters and intermediate catheters with improved trackability and support have made distal navigation more feasible. Low-profile, flexible catheters and sheathless techniques are enabling stable and reliable intracranial navigation via the radial route, helping mitigate size constraints inherent to the radial artery.
Despite some early concerns about the compatibility of radial artery access with large-bore guide catheters, a growing body of evidence supports the safety and feasibility of various 8-F guide catheters through radial access for neurovascular interventions. Our group demonstrated that placement of a short, 8-F sheath in the radial artery is both safe and feasible across a wide range of procedures, with a low failure rate.1 This approach enables the use of 8-F balloon guide catheters and other large-bore platforms for complex interventions such as aneurysm embolization and carotid artery stenting.
Additionally, the integration of robotic systems with radial access may further enhance precision, reduce radiation exposure, and expand access to underserved regions via teleneurointervention.
Overcoming current limitations—such as radial artery spasm, anatomic variations, and device compatibility—will be essential. However, with continued innovation and training, radial access is poised to become the default approach across a wider range of neurointerventional procedures, pushing the boundaries of minimally invasive stroke and vascular care.
1. Reddi P, Goldman D, Tabani H, et al. Safety and efficacy of using a large bore guide catheter through a short 8-Fr sheath for transradial neurointerventional procedures. Interv Neuroradiol. Published online June 2, 2025. doi: 10.1177/15910199251345034
INTERVENTIONAL ONCOLOGY
Darren Klass, MBChB, MD, MRCS, FRCR, FRCPC

The next frontier in radial access in interventional oncology, in my opinion, is simple: Radial access should be the minimum standard of care for all oncology interventions, if possible.
There is good evidence from multiple centers on patient satisfaction and safety,1-3 in addition to radiation benefits with radial intervention in interventional oncology. Our specialty has always prided itself on being at the forefront of innovation, even for procedures with minimal data. Yet, for unknown reasons, we have not embraced radial intervention to the degree we should.
The improvements made with distal radial intervention and rapid hemostasis protocols4 have further improved patient outcomes, shortened patient stays, and ultimately improved the quality of life for oncology patients. Radial access requires little to no patient prep and mild sedation, and hemostasis can be as short as 10 minutes. This—coupled with the exciting potential for locoregional immunotherapy and stem cell therapy in the future, which will in themselves require minimal patient recovery—will open the door to procedures viewed in a similar light as going to the dentist, with almost no recovery time involved. Further, distal intervention has been shown to have low rates of radial occlusion,4 and therefore, this access can be used multiple times.
As we embark on newer interventional oncology procedures, we need to keep in mind these benefits of radial intervention, particularly for oncology patients. In doing so, radial access for these patients will hopefully be embraced as standard of care rather than viewed merely as a convenience.
1. Loewenstern J, Welch C, Lekperic S, et al. Patient radiation exposure in transradial versus transfemoral yttrium-90 radioembolization: a retrospective propensity score-matched analysis. J Vasc Interv Radiol. 2018;29:936-942. doi: 10.1016/j.jvir.2018.02.011
2. Yamada R, Bracewell S, Bassaco B, et al. Transradial versus transfemoral arterial access in liver cancer embolization: randomized trial to assess patient satisfaction. J Vasc Interv Radiol. 2018;29:38-43. doi: 10.1016/j.jvir.2017.08.024
3. Thakor AS, Alshammari MT, Liu DM, et al. Transradial access for interventional radiology: single-centre procedural and clinical outcome analysis. Can Assoc Radiol J. 2017;68:318-327. doi: 10.1016/j.carj.2016.09.003
4. Hadjivassiliou A, Cardarelli-Leite L, Jalal S, et al. Safety and efficacy of a truncated deflation algorithm for distal transradial access. J Vasc Interv Radiol. 2020;31:1328-1333. doi: 10.1016/j.jvir.2020.02.027
VISCERAL EMBOLIZATION
Andrew Shabila, MD; Shaun Nordeck, MD; and AJ Gunn, MD, FSIR

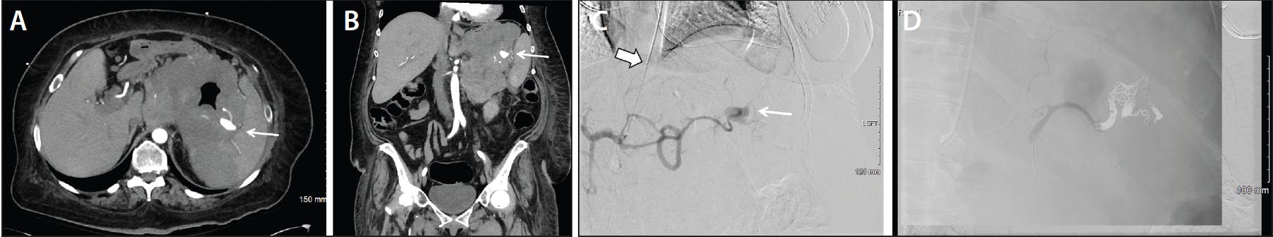
Radial access has evolved from a cardiac innovation to a transformative technique for visceral interventions (Figure 1, Figure 2 and Figure 3). For yttrium-90 (Y90) mapping and treatment, radial access enhances patient comfort, enables early ambulation, and significantly reduces access site complications compared with femoral approaches.1-4
Figure 1. A man in his mid 60s presented with decompensated cirrhosis with abdominal wall pain and swelling associated with a 4-g hemoglobin drop (10 to 6 g) and new tachycardia after paracentesis. Two units of packed red blood cells (PRBCs) were given and interventional radiology consulted. CT without contrast (acute kidney injury on stage 4a chronic kidney disease) demonstrating a left abdominal wall hematoma with mixed density, suggesting acute hemorrhage (A). Digital subtraction angiography (DSA) of the external iliac artery with a 5-F Vert catheter (thick arrow) via right radial access demonstrating a pseudoaneurysm from the branch of the left inferior epigastric artery (thin arrow) (B). Coil embolization across the culprit branch containing the pseudoaneurysm (C). Hemoglobin stabilized postprocedure without further transfusion.
Figure 2. A man in his early 50s with metastatic salivary gland carcinoma (ex pleomorphic adenoma) was transferred from an outside facility for management of a ruptured hepatic metastasis. Hemoglobin dropped to 6.8 from 8.5 g after 2 units of PRBC. CTA performed with a large, ruptured segment 7 mass noted high-density material compatible with recent hemorrhage but no active arterial extravasation (A). DSA via right radial access with a 5-F Sarah catheter (wide arrow) seated in the superior mesenteric artery, demonstrating replaced right hepatic artery (B). Selective 2.8-F microcatheterization of the posterior branch of the right hepatic artery with multiple masses and opacification of ruptured segment 7 lesion noted (arrows) (C). Superselective microcatheterization of the segment 7 branch (arrow) supplying the mass, embolized with 250-µm beads (D). The patient responded well, with no further transfusion requirements.
Figure 3. A woman in her early 40s presented with a newly diagnosed metastatic neuroendocrine pancreatic tumor with infiltration of the stomach and spleen, with anemia (hemoglobin, 5.7 g) and melena. Esophagogastroduodenoscopy showed a large, ulcerated vascular lesion in the gastric cardia but no exposed vessels or active bleeding. Axial (A) and coronal (B) CTA images of the abdomen with pseudoaneurysm of the splenic artery at the hilum (arrow). Interventional radiology was consulted for embolization. DSA via celiac access a using 5-F Sarah catheter (wide arrow) via left radial access showing a large splenic artery pseudoaneurysm at the splenic hilum (thin arrow) (C). After coil embolization (DSA and native overlayed) with no further filing of the pseudoaneurysm (D). While the patient had no further hematemesis or melena, she did experience postembolization splenic infarction given distal embolization.
The RAVI registry, encompassing > 600 visceral and oncologic embolization cases, reported 100% technical success, with no major radial artery occlusions, strokes, or access site hematomas, thus confirming the safety and reliability of radial access for complex abdominal interventions.1 These outcomes have accelerated interest in extending radial access beyond diagnostic angiography to therapeutic procedures such as hepatic Y90 radioembolization, splenic aneurysm embolization, and trauma-related hemorrhage control.
Although some interventionalists may have concerns about stroke when using radial access, data from a 2023 systematic review and meta-analysis reports of cardiac interventions demonstrated a lower incidence of stroke with radial compared to femoral access.5 Additionally, a 2022 study showed no difference in complication rates between right versus left distal radial artery access.6 However, interventionalists may find right radial access more ergonomic and with a lower learning curve when transitioning from conventional femoral access, given that they will be familiar with the many catheter and wire movements when operating from the patient’s right side.
Technologic advances—including hydrophilic-coated, 150-cm guide catheters and 0.021- to 0.025-inch microcatheter platforms—now enable selective or superselective access to the celiac and mesenteric branches for precise coil, plug, or microsphere delivery. Looking forward, radial-specific closure systems, longer sheath designs, and robotic or steerable catheter integration will further expand the role of radial access.
With these developments, radial access is poised to become the default route for visceral embolization, combining safety, efficiency, and superior patient experience in modern endovascular practice.
1. Guimaraes M, Fischman A, Yu H, et al. The RAVI registry: prospective, multicenter study of radial access in embolization procedures - 30 days follow up. CVIR Endovasc. 2024;7:15. doi:10.1186/s42155-023-00415-5
2. Sayfo S, Guimarães M. The next game changers for radial access in…. Endovasc Today. 2022;23:49-54. https://evtoday.com/articles/2024-nov/the-next-game-changers-for-radial-access-in
3. Chu HH, Kim JW, Shin JH, Cho SB. Update on transradial access for percutaneous transcatheter visceral artery embolization. Korean J Radiol. 2021;22:72-85. doi: 10.3348/kjr.2020.0209
4. Titano JJ, Patel RS, Fischman AM. Transradial access in interventional radiology. Adv Clin Radiol. 2020;2:127-138. www.doi.org/10.1016/j.yacr.2020.06.007
5. Desai AM, Desai D, Gan A, et al. Stroke risk in radial versus femoral approach in coronary intervention: an updated systematic review and meta-analysis. J Cardiovasc Med (Hagerstown). 2023;24:642-650. doi: 10.2459/JCM.0000000000001485
6. Rivera K, Fernández-Rodríguez D, Casanova-Sandoval J, et al. Comparison between the right and left distal radial access for patients undergoing coronary procedures: a propensity score matching analysis. J Interv Cardiol. Published July 21, 2022. doi: 10.1155/2022/7932114
Advertisement
Advertisement