Bruce H. Gray, DO, MSVM, an endovascular surgery specialist in Greenville, South Carolina, has practiced medicine for more than 36 years and has co-authored 90 peer-reviewed articles. In 2017, the Society for Vascular Surgery awarded Dr. Gray the Jess R. Young award in recognition of his outstanding contribution to vascular medicine education.

What is the most important way the treatment of acute limb ischemia (ALI) has changed since you began practicing?

Overall, it’s been the reduction in the amount of time it takes to restore limb perfusion. In fact, no area of medicine has captivated my interest and fascination more than the search for the fastest route to normalization of flow in ALI.

How has this reduction been achieved?

Traditionally, surgical procedures such as Fogarty® catheter thrombectomy or bypass were thought to be the most efficacious treatments for the prompt restoration of flow. Now we know that catheter-based procedures can often restore flow quickly without closing doors to other treatment options. In this sense, the biggest change I’ve witnessed has been the evolution of catheter-based systems.

How would you describe the evolution of catheter-based treatments?

We’ve known for a long time that systemic anticoagulation improves limb viability and life expectancy but is ineffective at restoring arterial patency. So systemic administration (intravenous) of thrombolytic therapy—streptokinase, urokinase, and tissue plasminogen activator—was tried, but it was inefficient in reestablishing flow and carried significant bleeding risk to the patient.

In the late 1980s, physicians adopted direct delivery of a fibrinolytic agent into the occluded artery via catheter-directed thrombolysis (CDT). CDT improved efficacy but often required infusions beyond the initial day of treatment. The problem is, the longer you infuse, the higher the bleeding risk. By the 1990s, substantially reduced thrombolytic doses for CDT had decreased bleeding risk, but CDT still necessitated a prolonged infusion before restoration of flow. That’s where mechanical thrombectomy changed the game. With first-generation mechanical thrombectomy devices, flow could be reestablished quickly. However, to normalize limb perfusion, mechanical thrombectomy was often combined with CDT to clean up the residual thrombus. These days, mechanical thrombectomy devices, such as the Pounce™ Thrombectomy System, can provide on-table results without the use of thrombolysis in most cases. This restoration of limb perfusion in a single session improves patient care, is cost-effective, and facilitates a return to the patient’s regular activities.

You’re now proficient at using the Pounce™ Thrombectomy System. How do you select patients for mechanical thrombectomy with the Pounce™ device?

Before considering any treatment, I need to know the patient’s personal history and conduct a physical examination. Determining the lesion morphology is an essential consideration prior to treatment, so the history of a recent change in symptom status increases the likelihood of thrombus as a component of the occlusion. For example, a patient who used to be able to walk 500 yards before the onset of leg pain and now can only walk 50 feet without pain is likely to have thrombus. After history and the physical exam, I assess if the guidewire can pass easily through the occlusion. If it can, the implication is that the clot can and should be removed.

The tactile feel of the lesion determines the ease of clot extraction. Occlusions that are thrombus dominant are easy to cross with a straight guidewire and can easily be treated with the Pounce™ Thrombectomy System. Once the clot is removed, if there is underlying atherosclerosis, the lesion can then be treated appropriately. Anecdotally, the markers on the baskets of the Pounce™ catheter will outline the contour of the arterial lumen when pulled back through stenoses. This helps identify areas of plaque in the artery. After that, ideally, you can treat clot like clot and plaque like plaque.

How do the Rutherford classification systems for ALI and critical limb ischemia influence your patient selection?

Current Rutherford classification systems for acute and chronic ischemia are based on symptom duration (ie, about 2 weeks duration for acute and 4 weeks for chronic). But, you can’t treat only on the basis of symptom duration because occlusions may act “younger” or “older.” Treatment should be tailored to the underlying feel of the lesion as determined with wire traversal. That doesn’t mean we need another classification system for clot morphology—we just need to be aware of what’s occluding the artery.

You’ve now treated about 50 patients with the Pounce™ Thrombectomy System. What are your overall impressions of the device?

The Pounce™ Thrombectomy System is a game changer. It’s simple to use, readily available on the shelf, and reestablishes flow promptly. More importantly, I believe it minimizes risk to the patient. We’ve only noted some minor groin hematomas in follow-up, given that these patients are treated with anticoagulation with few exceptions. Closure devices are routinely used to close the access site (7 Fr) without reversing anticoagulation.

With each pull of the device, the amount of extracted clot is immediately gratifying. The reassessment of arterial patency then helps determine the need for additional passes of the baskets. Frequent wire traversal of the arterial segment is not an issue because the access sheath is maintained, and replacement of the delivery catheter is easy. Each subsequent pass becomes easier than the previous pass. Without a doubt, the Pounce™ device has become my go-to catheter whenever a peripheral arterial occlusion is easily crossed and there is suspicion of thrombus present. The entire team, including the technologists, nurses, and residents, appreciate the ability to treat these complex patients quickly and decisively.

How has your use of the Pounce™ Thrombectomy System evolved since you first started using it?

As our clinical experience has grown, we’ve used the Pounce™ Thrombectomy System to achieve stand-alone thrombectomy without the need for subsequent thrombolytic therapy. This reduction is seen in our overall use of thrombolytic therapy, which is now less than 35%. This compares quite favorably to our experience with either the AngioJet™ or Indigo® System, where we’ve found that thrombolytic therapy is necessary in 90% of cases. We expect this rate to continue to drop despite taking on more complex thrombotic cases.

Initially, because the basket wire is fairly stiff, I had some concerns about pulling the device back through curves or tortuosity, such as the proximal anterior tibial artery. With experience, I’ve set these concerns aside, since the baskets are flexible, and their limited radial force is nontraumatic to the arterial wall. The catheter is designed to be used in peripheral arteries between 3.5 and 6 mm in diameter.

Have you been concerned with distal embolization when using the Pounce™ Thrombectomy System?

Not really, because the technique of removing proximal clot before removing distal clot limits embolization. You set up inflow first, then establish adequate outflow. If clot embolizes into another branch, it’s easy to cross and remove with another pass of the baskets.

How do you feel about the utility of the Pounce™ Thrombectomy System in the outpatient setting?

Most Pounce™ Thrombectomy System cases can be done within 60 to 90 minutes under local anesthesia and as an outpatient procedure. This compares favorably to any other technique that is currently available. The avoidance of an intensive care unit stay (needed for thrombolytic therapy), admission to the hospital (extra cost), and repeat contrast requiring procedures (follow-up angiogram after thrombolytic therapy) make the Pounce™ System an indispensable device for any interventional suite.

What would be your advice to interventionalists who are just getting started with the Pounce™ Thrombectomy System?

The learning curve for the Pounce™ Thrombectomy System is short; for experienced operators, three cases is enough. A good place to start is with patients who have small clot burden in the superficial femoral or popliteal artery. With experience, it becomes simple to tackle greater clot burden or thrombectomy in atherosclerotic arteries.

Long occlusions can be debulked without initially crossing the entire lesion. Leaving the distal clot intact minimizes the risk of distal embolization by leaving a “cork” at the bottom of the occlusion. Then, it can be removed. It typically is not a problem to deploy the funnel in occluded segments because the baskets retrieve into the funnel easily. When in doubt, make another pass and use the angiographic appearance and pace of flow to figure out the thrombectomy endpoint.

Bruce H. Gray, DO, MSVM
Professor of Surgery/Vascular Medicine
University of South Carolina School of Medicine
Greenville, South Carolina
Disclosures: Consultant for InspireMD, Surmodics, and WL Gore.


Case Report: Successful Removal of Bilateral Embolization Using the Pounce™ Thrombectomy System

By Bruce H. Gray, DO, MSVM

Patient Presentation

A 44-year-old woman who worked as a mail carrier presented with a 4-week history of claudication. She had no risk factors for atherosclerosis, was in normal sinus rhythm, and had no history of medical illness.

Diagnostic Findings

The patient was found to have bilateral embolization that caused an occlusion of the descending branch of the right profunda femoral artery, right popliteal artery occlusion, and left tibioperoneal trunk occlusion (Figure 1).

Figure 1. Baseline arteriogram of right profunda femoral artery (A), right popliteal artery (B), and left tibioperoneal trunk (C) occlusions.

Treatment

Bilateral common femoral artery access enabled the Pounce™ Thrombectomy System to remove the emboli and reestablish normalized flow without thrombolysis or surgical intervention (Figure 2 and Figure 3). With the Pounce™ Thrombectomy System, multiple vessels or branches of the arterial tree were able to be reopened during the same session.

Figure 2. Arteriogram of right profunda femoral artery (A), right popliteal artery (B), and left tibioperoneal trunk (C) after Pounce™ passes.

Figure 3. Clot removed from the right profunda artery (A) and left tibioperoneal trunk (B) after use of the Pounce™ Thrombectomy System. (Used with permission of the author.)

Post Procedure Outcome

This embolization event was further evaluated with echocardiography (normal), but outpatient cardiac rhythm monitoring identified paroxysmal atrial fibrillation. She is still asymptomatic while on anticoagulation.

It is quite rewarding to normalize flow without an incision or exposing the patient to thrombolytic therapy. The Pounce™ Thrombectomy System enabled a successful outcome to this case.

Case Report: Successful Right Leg Revascularization Using the Pounce™ Thrombectomy System

By Bruce H. Gray, DO, MSVM

Patient Presentation

An 82-year-old woman presented with profound right leg ischemia with rest pain. Her symptoms began 6 months prior but had worsened within the past 2 months.

Diagnostic Findings

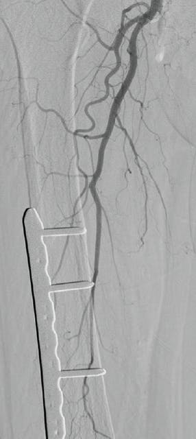
Arteriographically, the inflow (iliac, common femoral artery, profunda femoral artery) was patent. Her superficial femoral artery (SFA) was occluded with an isolated segment of patent popliteal artery with no identifiable tibial artery below the knee (Figure 1).

Figure 1. Arteriogram showing ostial right SFA/popliteal artery occlusion.

Treatment

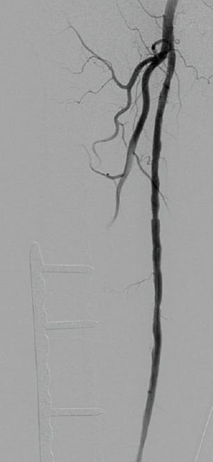
The surgeon did not feel as if there was a target for surgical revascularization and was not in favor of multilevel/multivessel open thrombectomy. It was decided to proceed with use of the Pounce™ Thrombectomy System, which allowed reestablishment of flow through the SFA and popliteal artery (Figure 2, Figure 3, and Figure 4). It also allowed us to place a catheter for thrombolysis focused on a tibial clot because the Pounce™ device is not indicated for the treatment of tibial arteries smaller than 3.5 mm.

Figure 2. Arteriogram of the right SFA after use of the Pounce™ Thrombectomy System.

Figure 3. Arteriogram of the right popliteal artery after use of the Pounce™ Thrombectomy System.

Figure 4. Clot removed after use of the Pounce™ Thrombectomy System. (Used with permission of the author.)

Post Procedure Outcome

The key ingredient to treatment is flow, so improving flow to the tibial thrombus enhanced and shortened the duration of thrombolysis. Everything should focus on flow as an endpoint to limit symptoms and improve efficacy of thrombolysis. The patient did well, her symptoms resolved, and she was discharged to home on anticoagulation 1 day after initiation of therapy.

The Pounce™ Thrombectomy System was pivotal in reestablishing flow through the SFA and popliteal arteries by shortening the duration of thrombolytics and avoiding a surgical approach in an elderly patient.

Caution: Federal (US) law restricts the Pounce™ Thrombectomy System to sale by or on the order of a physician. Please refer to the product Instructions for Use for indications, contraindications, warnings, and precautions.

SURMODICS, POUNCE, and SURMODICS and POUNCE logos are trademarks of Surmodics, Inc. and/or its affiliates. Third-party trademarks belong to their respective owners.