Pulmonary embolism (PE) remains a major cause of cardiovascular morbidity and mortality worldwide. It occurs when thrombotic material—most often from a deep vein thrombosis in the lower extremities or pelvis—embolizes to the pulmonary arterial circulation, obstructing blood flow, increasing right ventricular (RV) afterload, reducing effective lung perfusion, causing hypoxia, and leading to RV dysfunction or failure.

Management of PE traditionally centers on risk stratification. Low-risk patients may be managed with anticoagulation alone, while intermediate- and high-risk patients (with RV dysfunction, elevated cardiac biomarkers, or hemodynamic instability) may require systemic thrombolysis, catheter-directed therapy, or surgical embolectomy. However, systemic thrombolysis carries a substantial bleeding risk, and surgical embolectomy is invasive and resource intensive.

Recent advances in catheter-based thrombectomy devices have provided an important alternative—mechanical removal of thrombus without systemic fibrinolysis. Among these, the AVENTUS® Thrombectomy System represents a new frontier in percutaneous treatment of PE, offering efficient clot extraction with simultaneous blood reinfusion and safety enhancements through TrueClot™ Sensing technology.

CASE PRESENTATION

A male patient in his mid-70s presented to the emergency department with acute shortness of breath and chest discomfort that had developed suddenly while at rest. His past medical history included hypertension and hyperlipidemia. On arrival, his oxygen saturation was 86% on room air, respiratory rate was 28 breaths/min, heart rate was 112 bpm, and blood pressure was 118/70 mm Hg. Physical examination revealed jugular venous distension and mild respiratory distress.

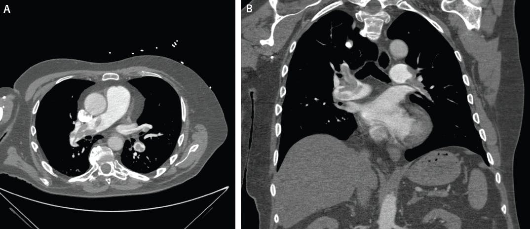
Laboratory evaluation showed elevated D-dimer (4.8 µg/mL) and mildly increased troponin I. CT pulmonary angiography (CTPA) demonstrated a saddle PE extending into both main pulmonary arteries (PAs) (Figure 1). Echocardiography revealed marked RV dilation with a RV/LV (right ventricular/left ventricular) ratio of 1.4, consistent with RV strain (Figure 2).

Figure 1. Transverse plane CTPA demonstrating a saddle PE extending into both main PAs (A). Coronal plane CTPA demonstrating a saddle PE extending into both main PAs (B).

Figure 2. Echocardiogram (A) and CT image (B) showing RV dilation with an RV/LV ratio of 1.4.

Given the large clot burden and RV dysfunction but without hemodynamic collapse, the patient was classified as intermediate-high–risk PE. After multidisciplinary discussion with the PE response team (PERT), he was selected for mechanical thrombectomy (MT) using the AVENTUS Thrombectomy System.

PROCEDURAL OVERVIEW

Under fluoroscopic guidance via right femoral venous access, the AVENTUS Catheter was advanced into the PAs. The catheter tracked into the right PA smoothly, aided by the integrated navigation catheter and guidewire. As the AVENTUS Catheter was advanced into the distal right PA, TrueClot™ Sensing indicated that we were in contact with a large clot burden. We performed an aspiration, and a large volume of clot was extracted. The AVENTUS Catheter was then pulled back to the mid-right PA, and an additional aspiration removed more clot from the mid and upper branches. The directional aspiration catheter was then rotated to face the truncus anterior, and remaining clot was aspirated without needing to adjust guidewire position or advance the AVENTUS Catheter into the branch, making the procedure on the right PA fast and efficient.

Figure 3. Aspirated clot diagram showing thrombus removed during the procedure.

The AVENTUS Catheter was then pulled back into the main PA, and the navigation catheter and wire seamlessly flipped into the left PA. TrueClot™ Sensing was utilized to ensure we had proper alignment and directed toward the clot and away from the vessel wall. One final aspiration cleared all the clot in the left PA. The real-time feedback of TrueClot™ Sensing was very helpful to gain proper alignment and aided in efficient clot removal in the left PA.

After each aspiration, the AVENTUS Clot Filtration and Blood Reinfusion System was used to immediately return blood to the patient without use of the back table. This helped to minimize blood loss during the procedure. Ancillary staff found the procedure to be simple and required less back-and-forth maneuvers than other MT systems.

Within minutes of thrombectomy, the patient’s heart rate dropped from 92 bpm (preprocedure) to 79 bpm (postprocedure), and PA pressure dropped from 69/21 mm Hg (mean, 38 mm Hg) (preprocedure) to 41/17 mm Hg (mean, 27 mm Hg) (postprocedure). Oxygen saturation improved to 99% on nasal cannula, and follow-up echocardiography 24 hours later demonstrated significant reduction in RV size and normalization of septal motion. He was transitioned to oral anticoagulation and discharged home without complications. This procedure highlights the procedural efficiencies of the AVENTUS System in a patient with high clot burden. The case required a total device time of only 35 minutes with four aspirations. There was notably less fluoroscopy and overall procedure time than other MT systems. More importantly, the patient had an immediate improvement in symptoms.

DISCUSSION

This case underscores the evolving paradigm in PE management, where rapid identification of RV strain guides timely intervention. Although anticoagulation remains the cornerstone of therapy, MT offers immediate hemodynamic relief in patients with significant clot burden, without exposing them to the bleeding risks of systemic thrombolysis.

The AVENTUS Thrombectomy System represents a next-generation approach, combining high-efficiency aspiration, autologous blood reinfusion, and intelligent catheter design that differentiate between thrombus and native vessel tissue in real time. This innovation enhances safety and procedural efficiency, particularly in distal or branching pulmonary vasculature.

Clinical Evidence and Advances

The AVENTUS Investigational Device Exemption (IDE) trial demonstrated robust safety and efficacy outcomes:1

  • Mean RV/LV ratio reduction of −0.47 at 48 hours (P <.0001)
  • 35.9% mean reduction in clot burden
  • Zero device-related major adverse events within 48 hours
  • Mean intensive care unit stay of 0.8 days and hospital stay of 2.6 days

In June 2025, the AVENTUS Thrombectomy System received FDA 510(k) clearance for the treatment of PE, following strong multicenter data supporting its safety and performance. As an early user and investigator in the AVENTUS Trial, I found the device easily adoptable into my clinical practice due to its simplicity and intelligent design. My staff has even commented on the improved workflow and overall cleanliness of the sterile field compared to other thrombectomy devices. The streamlined reinfusion healthy blood also limits anemia and transfusion requirements, an important consideration in elderly patients or those with comorbidities.

FUTURE DIRECTIONS

As PERT programs expand globally, integration of rapid imaging, hemodynamic evaluation, and next-generation thrombectomy platforms like AVENTUS are redefining PE management. Ongoing research aims to clarify long-term outcomes, prevention of chronic thromboembolic pulmonary hypertension, and comparative cost-effectiveness against thrombolysis and surgical embolectomy.

MT with the AVENTUS Thrombectomy System provides a safe and effective alternative for patients with intermediate- or high-risk PE. In the presented case, prompt recognition and device-assisted clot removal led to rapid RV recovery and clinical improvement without major complications. As evidence continues to expand, devices like the AVENTUS System with intelligent thrombectomy technology are poised to become integral components of advanced PE care.

INDICATIONS FOR USE

The Aventus Thrombectomy System is indicated for:

  • The non-surgical removal of emboli and thrombi from blood vessels.
  • Injection, infusion, and/or aspiration of contrast media and other fluids into or from a blood vessel.

The Aventus Thrombectomy System is intended for use in the peripheral vasculature and for the treatment of pulmonary embolism.

The Aventus Clot Management System is indicated for use with the Aventus Thrombectomy System for autologous blood transfusion.

AVENTUS® is a registered trademark of Inquis Medical, Inc.

©2025 Inquis Medical, Inc. All Rights Reserved.

1. Sabri S, Horr S, Stegman B, et al. Novel aspiration thrombectomy and blood reinfusion system for acute intermediate-risk pulmonary embolism: AVENTUS trial results. J Soc Cardiovasc Angiogr Interv. 2025;4:103661. doi: 10.1016/j.jscai.2025.103661

Saba Lahsaei, MD, FACC, RPVI
Interventional Cardiologist
Heart and Vascular Center
Northbay Health
Fairfield, California
Disclosures: Consultant to Inquis Medical.