Advertisement
Advertisement
January 2026 Supplement
Sponsored by Inquis Medical, Inc.
Targeted Mechanical Thrombectomy in High-Risk Pulmonary Embolism Using the AVENTUS® Precision Thrombectomy System
Pulmonary embolism (PE) is a leading cause of cardiovascular mortality, and outcomes are closely tied to the right ventricular (RV) response to acute increases in pulmonary vascular resistance. Patients with intermediate-high–risk PE, defined by RV dysfunction and elevated biomarkers despite preserved systemic blood pressure, have a meaningful risk of clinical deterioration.
Systemic anticoagulation alone may not prevent early decompensation, while systemic thrombolysis carries significant bleeding risk. Mechanical thrombectomy (MT) allows direct, immediate reduction of clot burden without fibrinolytic therapy and is increasingly integrated into PE response protocols.
This case describes the successful use of the AVENTUS® Thrombectomy System in recurrent, intermediate-high–risk PE with large central clot burden and an active proximal venous embolic source.
CASE PRESENTATION
A male patient in his late 40s with a history of extensive bilateral PE and right leg deep vein thrombosis (DVT) presented with progressively worsening exertional dyspnea and fatigue. Two years prior, he had undergone percutaneous MT for PE using a large-bore aspiration system (FlowTriever, Inari Medical) with complete recovery. He completed 1 year of anticoagulation but discontinued therapy afterward.
On the day of presentation, the patient noted persistent tachycardia in the 130s bpm on his smartwatch, unresponsive to rest and hydration, prompting emergency evaluation. He also reported a 1-week history of right calf discomfort.
In the emergency department, he was tachycardic to 123 bpm, blood pressure was 135/99 mm Hg, and he required 2 L/min nasal cannula oxygen to maintain an oxygen saturation at 97%. High-sensitivity troponin-I was 389 ng/L and B-type natriuretic peptide was 218 pg/mL, consistent with myocardial strain.
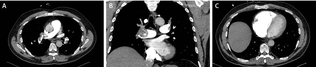
CT pulmonary angiography (CTPA) demonstrated large, multilobar, occlusive (Figure 1A) and near-occlusive emboli (Figure 1B), most prominently in the right lower lobe, with RV dilation (RV/LV [right ventricular/left ventricular] ratio, 1.79) (Figure 1C) and reflux of contrast into the inferior vena cava. Duplex ultrasound confirmed acute DVT in the right popliteal, posterior tibial, and peroneal veins.
Figure 1. Pretreatment CTA demonstrating extensive bilateral PE and signs of RV pressure overload. Axial CTPA showing large, centrally located thrombi involving the right main PA with extension into the lobar and segmental branches of the right lower lobe (A). Coronal reformatted CT images confirming extensive thrombus burden in the right PA system, predominantly involving the lower lobe vasculature, with reduced distal perfusion (B). Axial cardiac CT image demonstrating marked RV dilation with septal bowing consistent with elevated RV systolic pressure; the calculated RV/LV ratio was 1.7, indicating significant right heart strain (C).
Transthoracic echocardiography demonstrated moderate RV dilation and dysfunction with McConnell’s sign. His sPESI (simplified PE Severity Index) score was 2 and Bova score was 4 (stage II), consistent with intermediate-high–risk PE. The PE response team recommended urgent endovascular intervention.
PROCEDURAL OVERVIEW
Moderate conscious sedation was used. Right common femoral venous access was obtained, and a 24-F introducer sheath was placed after dual ProGlide preclosure (Abbott). A Swan-Ganz catheter was advanced into the main pulmonary artery (PA) and baseline PA pressures measured 44/21 mm Hg.
The AVENTUS Thrombectomy Catheter was advanced over the integrated 5-F navigation catheter on an Amplatz wire into the PA (Figure 2). Its soft, atraumatic tip enabled smooth advancement without a dilator. A right pulmonary angiogram was performed directly through the system. Upon engaging clot, the catheter’s real-time TrueClot™ Sensing indicator changed color, confirming optimal alignment for aspiration. A single, targeted angiographic run was obtained to confirm large central thrombus in the right main PA with near-complete obstruction of lobar and segmental branches, correlating with the findings of CTPA.
Figure 2. Minimal baseline angiography was necessary due to utilization of real-time TrueClot™ Sensing technology. A single, targeted angiographic run was obtained to confirm large central thrombus in the right main PA with nearcomplete obstruction of lobar and segmental branches, correlating with the findings of CTPA. Additionally, we decided not to do a pulmonary angiogram on the left side.
Three aspirations were performed in the right lower lobe, and three aspirations in the left lower lobe, each time rotating the directional aspiration opening toward a different branch. No catheter removal or exchanges were required during the entire procedure.
While navigating the catheter within the PAs, the AVENTUS TrueClot™ Sensing indicator showed a green light to confirm that the device tip is positioned freely within the bloodstream and not in contact with thrombus, allowing safe advancement into the target branch. The indicator then changed to orange when the catheter was engaging directly with thrombus, signaling optimal alignment for aspiration. This real-time feedback enables precise clot targeting, reduces the need for multiple angiographic contrast injections, and enhances procedural efficiency.
The in-line blood return system allowed real-time visualization of aspirated thrombus (Figure 3) and delivered negligible blood loss. Total contrast volume was approximately 50 mL. Completion angiography showed near-complete restoration of bilateral perfusion (Figure 4). Postprocedure PA pressures were 21/11 mm Hg. Total device time was 22 minutes with no arrhythmia, vascular injury, or hemodynamic instability.
Figure 3. Post-thrombectomy pulmonary angiography demonstrating restored bilateral perfusion with minimal residual thrombus. Right PA angiogram demonstrated significantly improved opacification of segmental and subsegmental branches, with only minimal distal residual thrombus (A). Left PA angiogram showing near-complete resolution of previously occlusive thrombus, with brisk and homogeneous enhancement of the lower lobe vascular bed and restored downstream perfusion (B).
Figure 4. Visible thrombus retrieval with a closed-loop aspiration and reinfusion system. AVENTUS Clot Filter demonstrating collected thrombus segments readily visible during aspiration. This visual feedback confirms device effectiveness in real time and allows immediate assessment of clot burden removed (A). Organized display of extracted thrombus from the right (left side of image) and left (right side of image) PA systems, demonstrating removal of large, centrally located embolic casts consistent with the patient’s angiographic findings (B).
POSTPROCEDURAL COURSE
The patient experienced immediate improvement in dyspnea and was weaned to room air the same day. He remained hemodynamically stable without complications and was discharged home the following morning on therapeutic anticoagulation. A predischarge CTA demonstrated minimal residual distal thrombus and improved branch perfusion. He reported full resolution of symptoms at follow-up.
DISCUSSION
MT offers a treatment strategy that rapidly reduces RV afterload while avoiding the bleeding risk of thrombolytics. In this case, several design features of the AVENTUS Thrombectomy System supported efficient and effective clot removal:
- Single-system approach allowed transition across branches without catheter exchange
- Large-bore aspiration with seamless blood reinfusion enabled rapid clot removal with minimal blood loss
- Directional control enabled precise targeting of occluded branches
- TrueClot™ Sensing technology reduced contrast exposure and expedited aspiration alignment
- Real-time visualization of retrieved thrombus confirmed procedural progress
These combined advantages resulted in rapid hemodynamic normalization, restored bilateral perfusion, and next-day discharge.
CONCLUSION
Percutaneous MT using the AVENTUS Thrombectomy System achieved rapid and complete reperfusion in this patient with recurrent intermediate-high risk PE, leading to immediate improvement in cardiopulmonary function and expedited hospital discharge. Device innovations that streamline workflow and improve targeting efficiency may support expanding adoption of catheter-based therapy in appropriate PE populations.
INDICATIONS FOR USE
The Aventus Thrombectomy System is indicated for:
- The non-surgical removal of emboli and thrombi from blood vessels.
- Injection, infusion, and/or aspiration of contrast media and other fluids into or from a blood vessel.
The Aventus Thrombectomy System is intended for use in the peripheral vasculature and for the treatment of pulmonary embolism.
The Aventus Clot Management System is indicated for use with the Aventus Thrombectomy System for autologous blood transfusion.
AVENTUS® is a registered trademark of Inquis Medical, Inc.
©2025 Inquis Medical, Inc. All Rights Reserved.
Advertisement
Advertisement